Découvrez Nos Résultats Dentaires Transformateurs
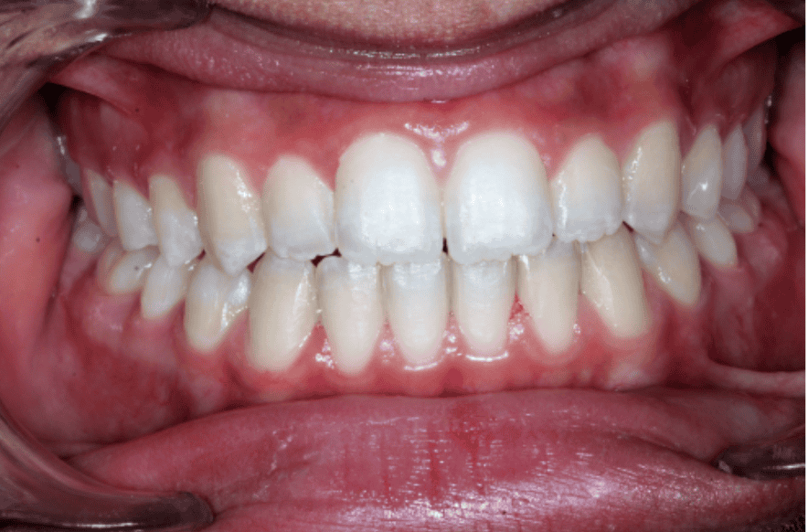
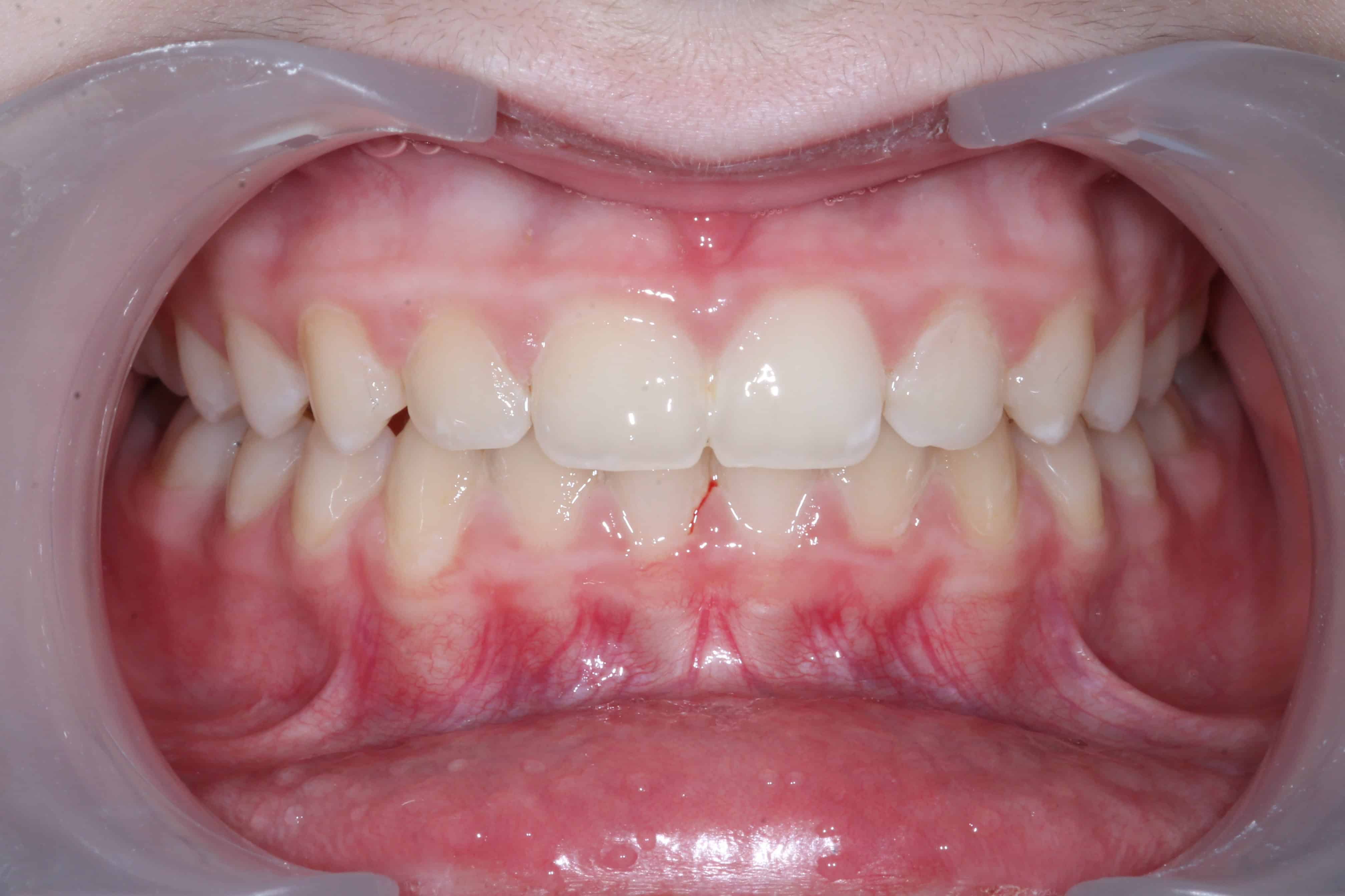
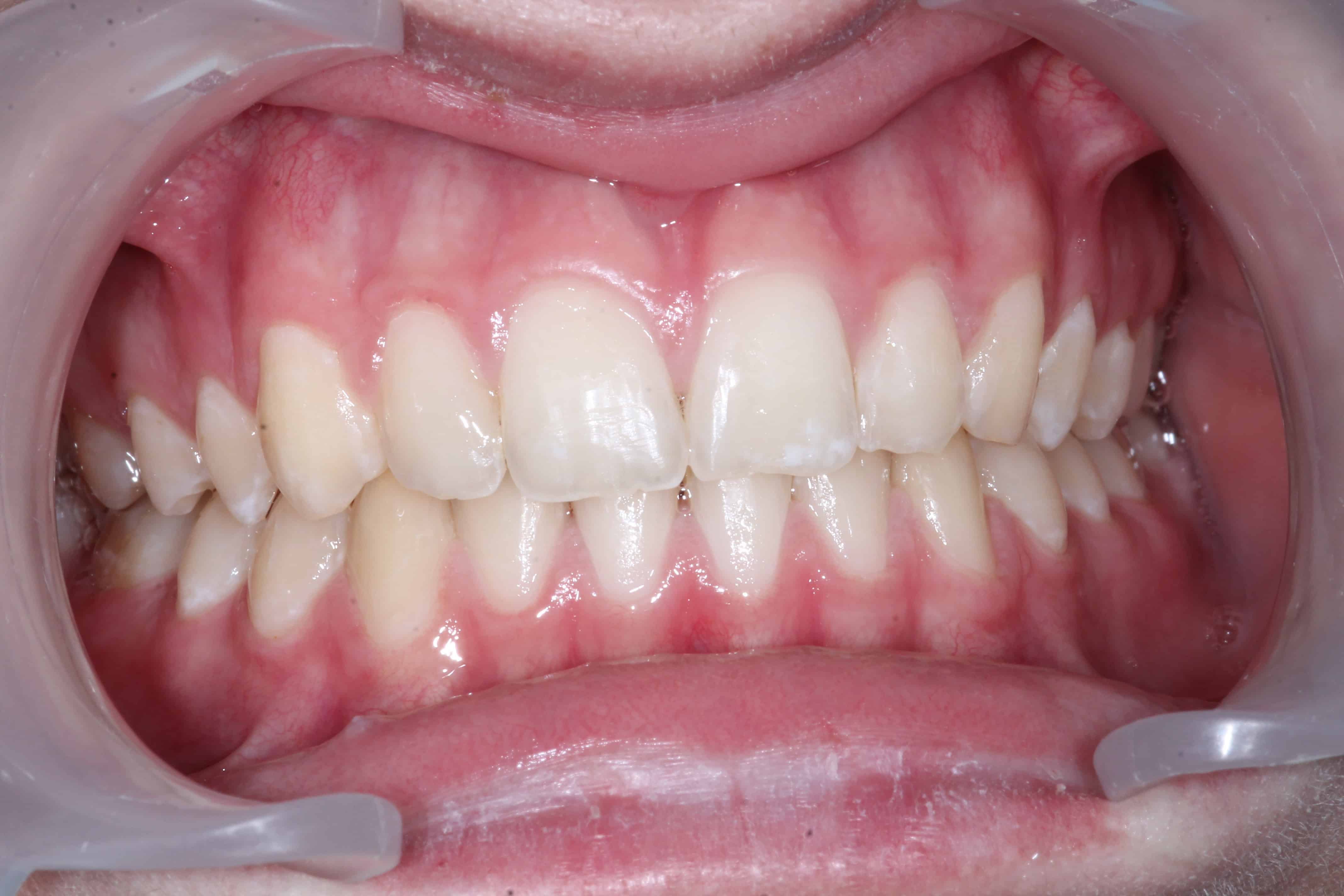
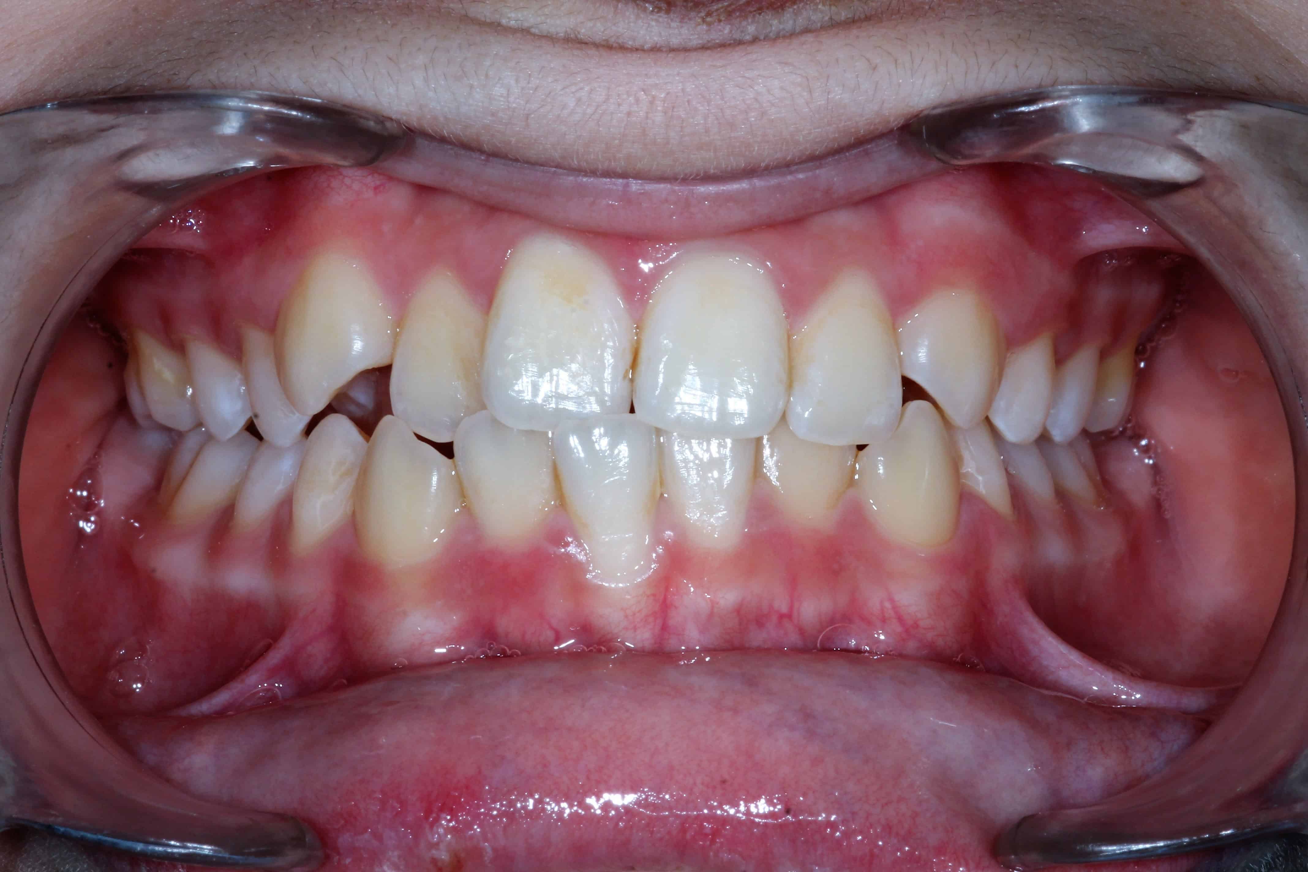
Avant / Après
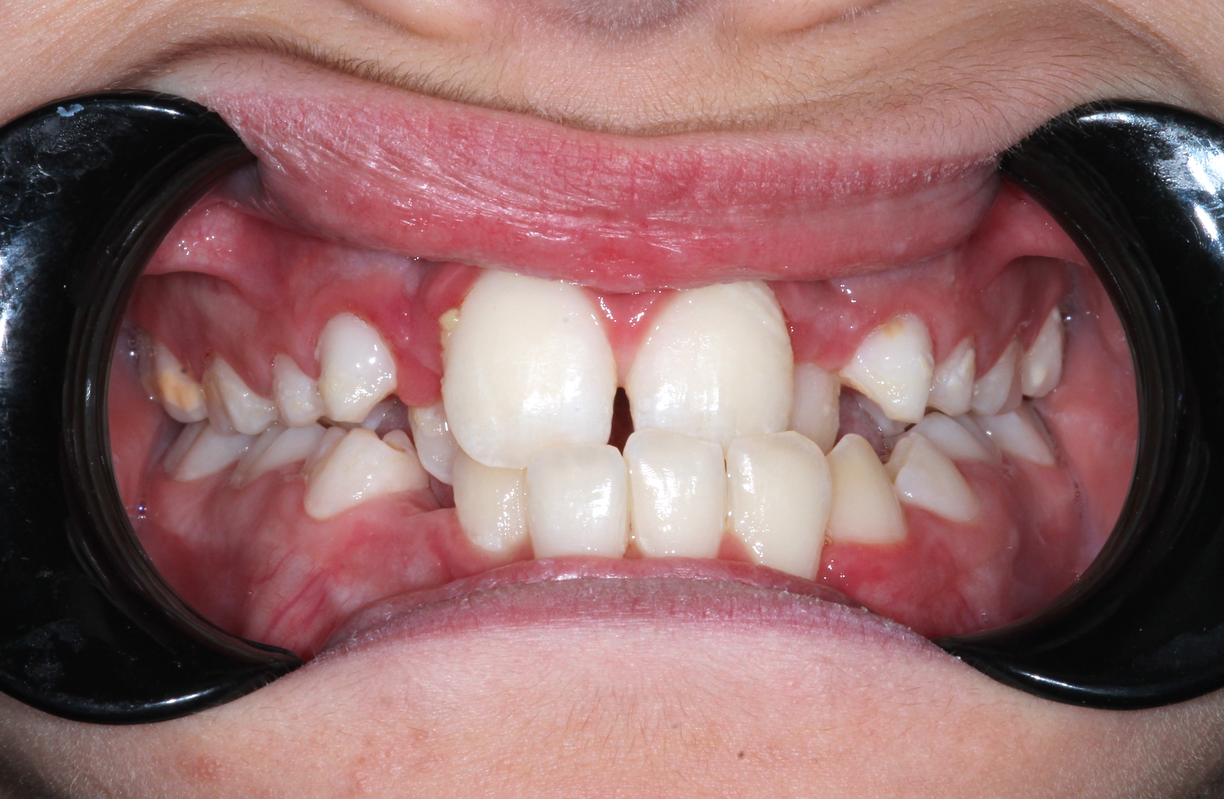
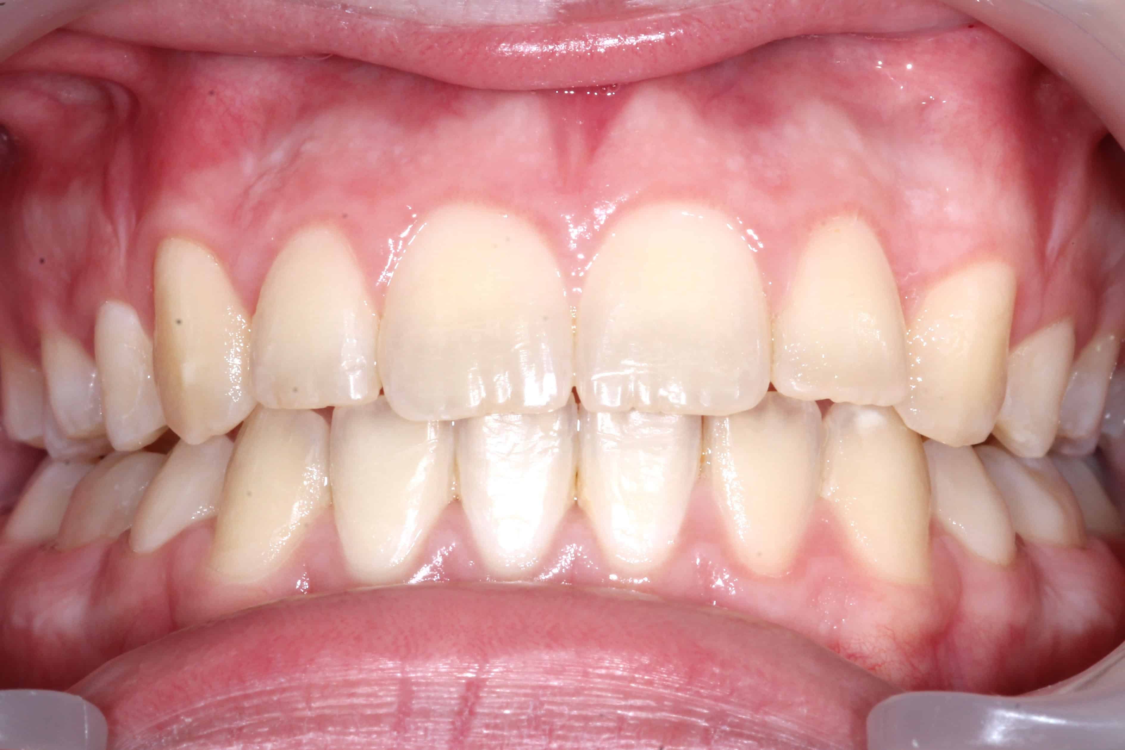
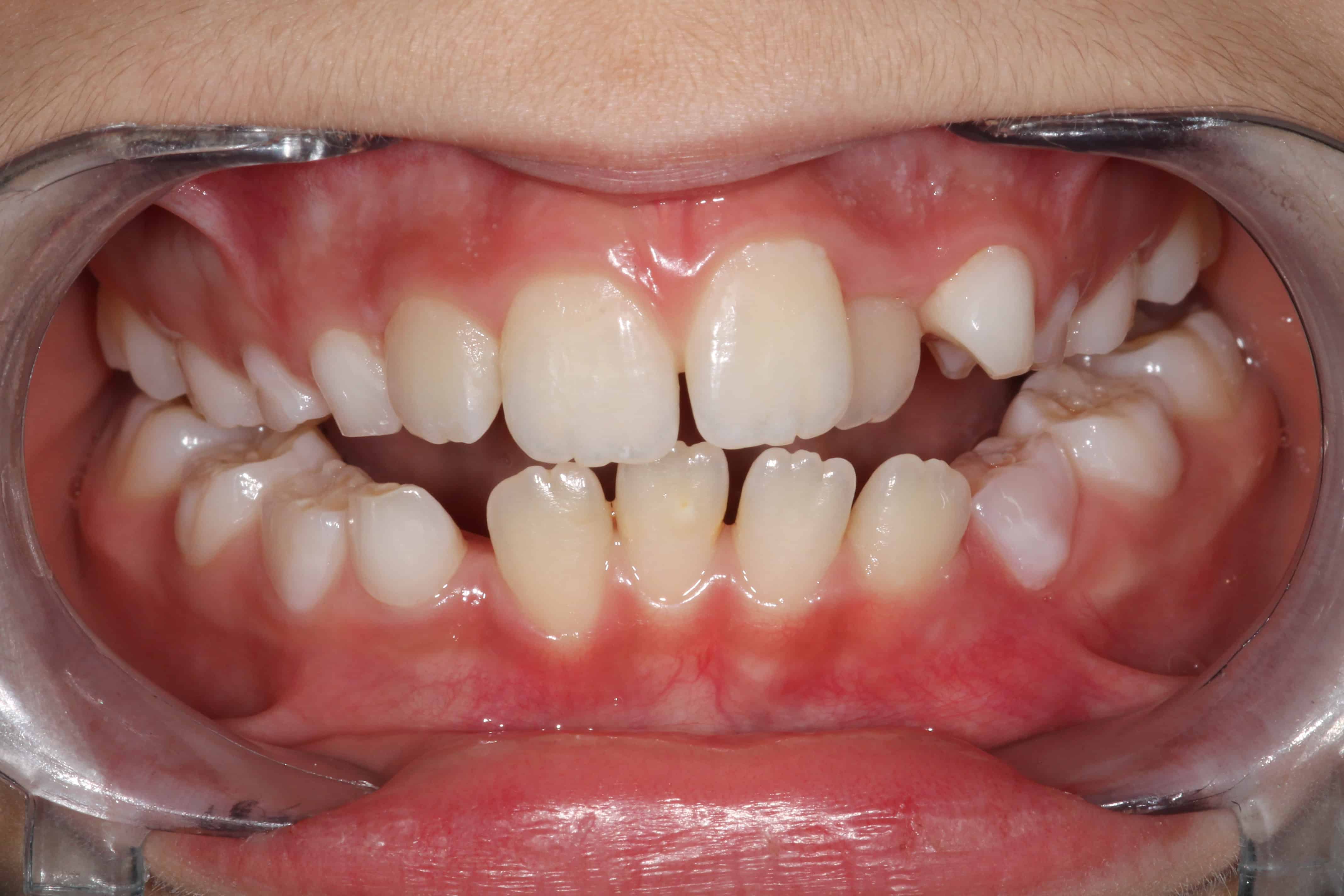
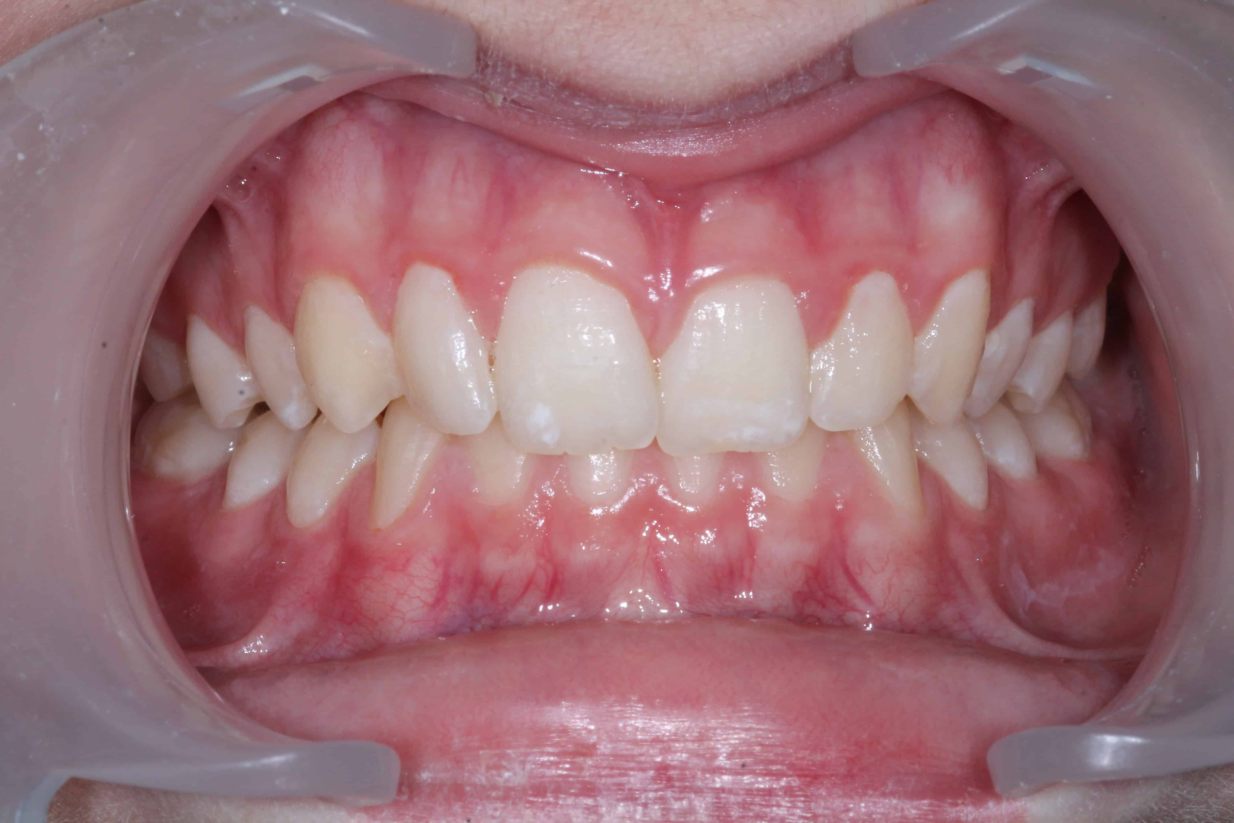
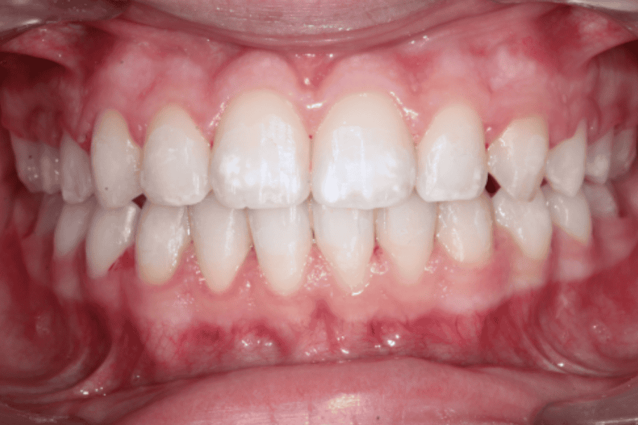
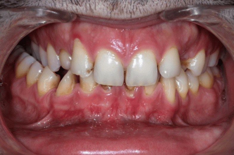
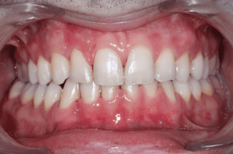
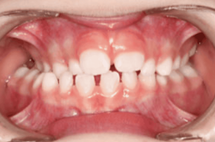
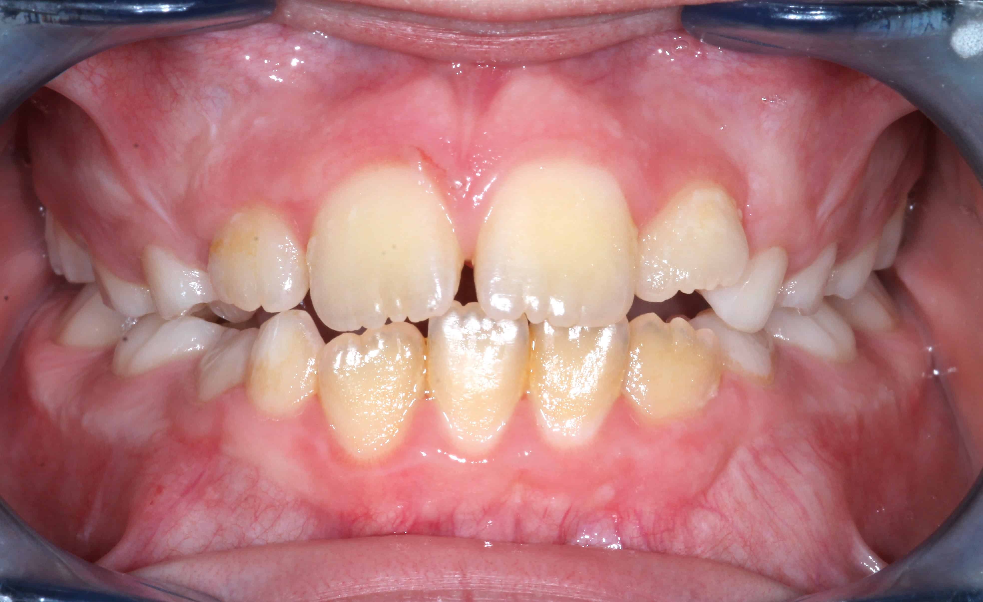
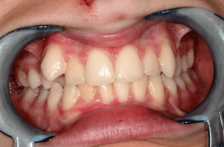
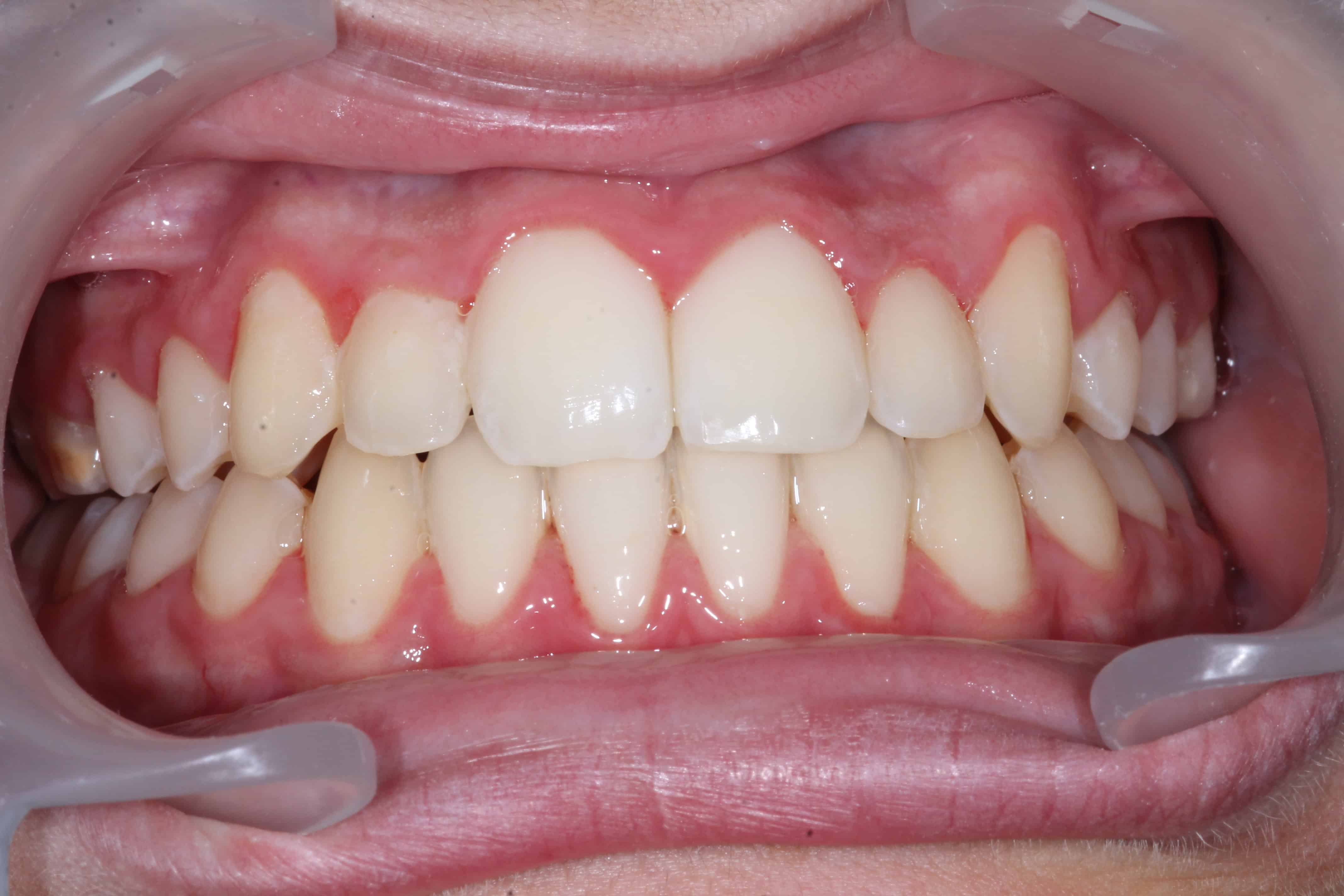
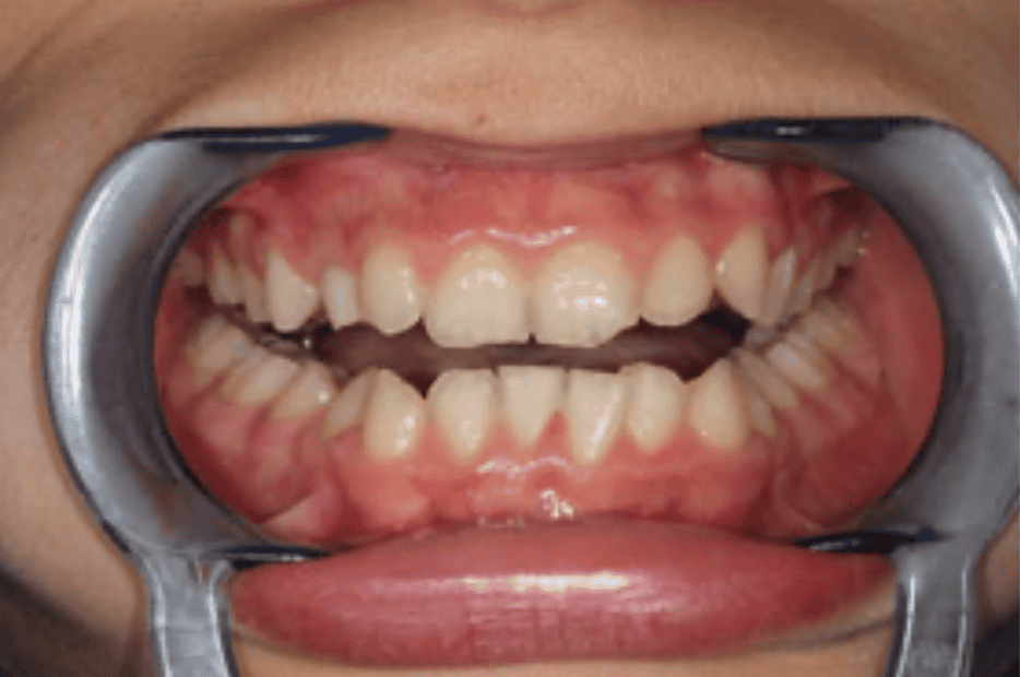
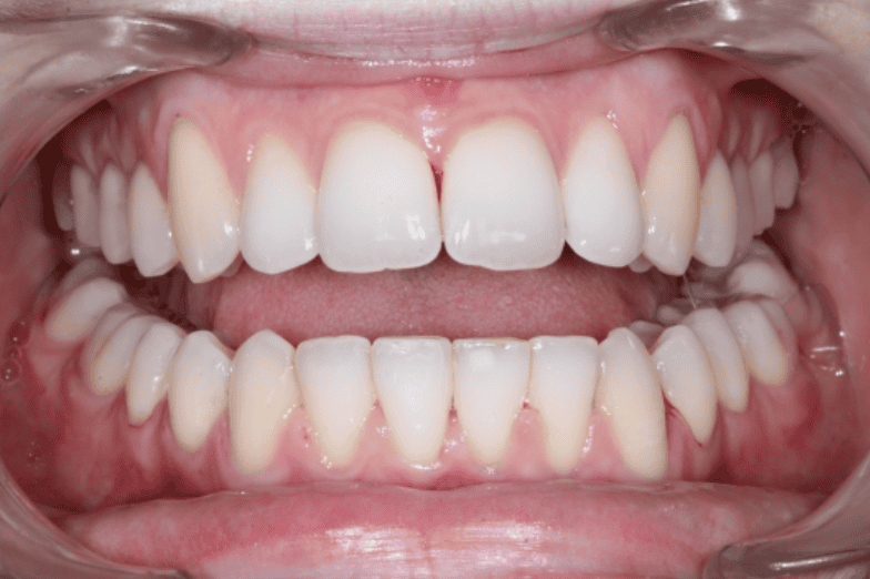
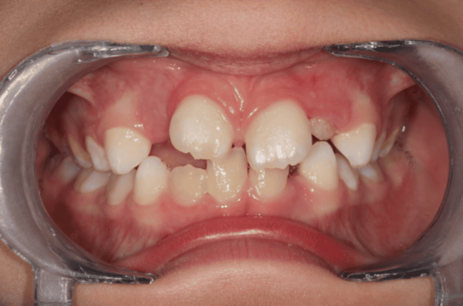
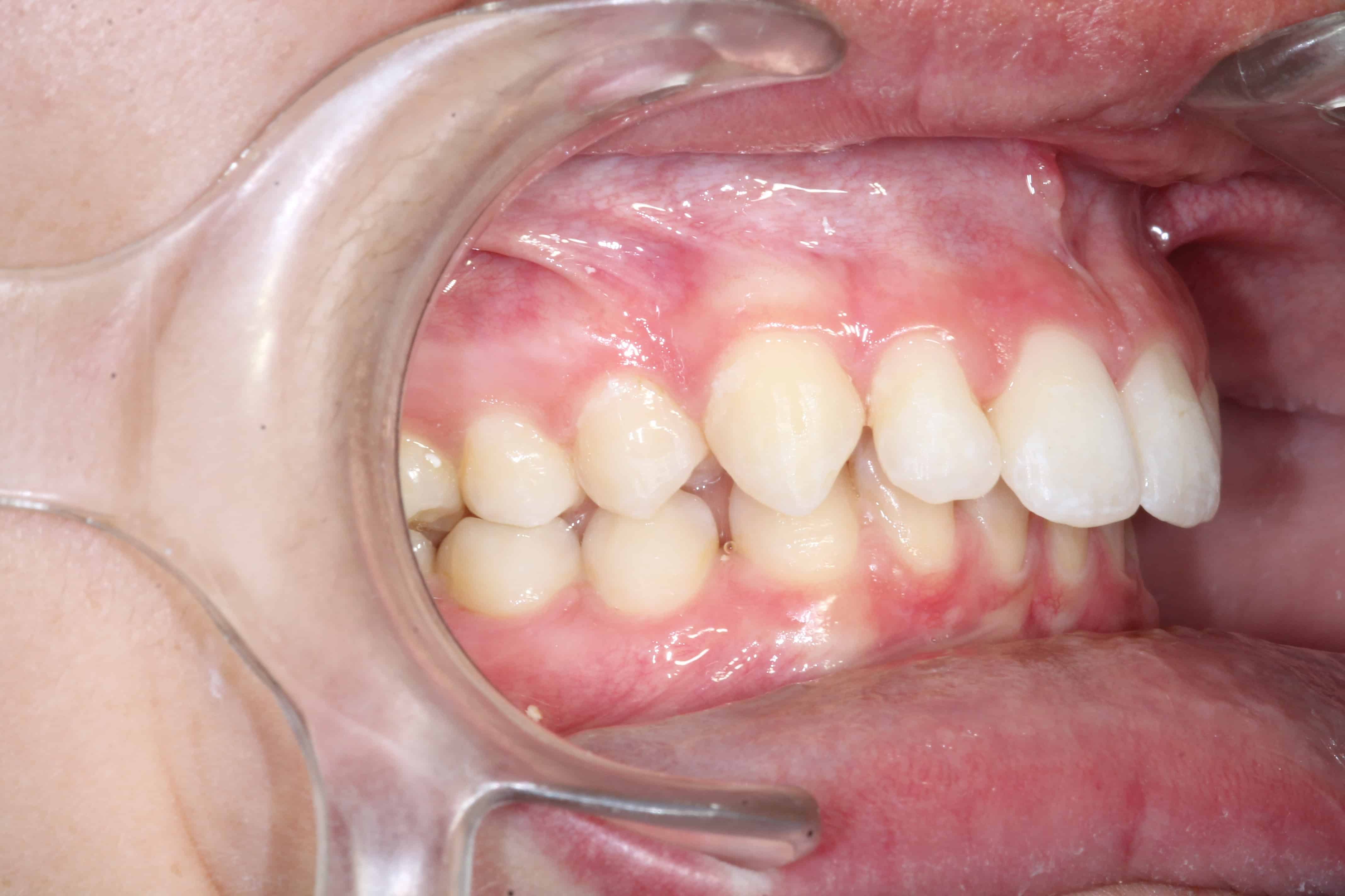
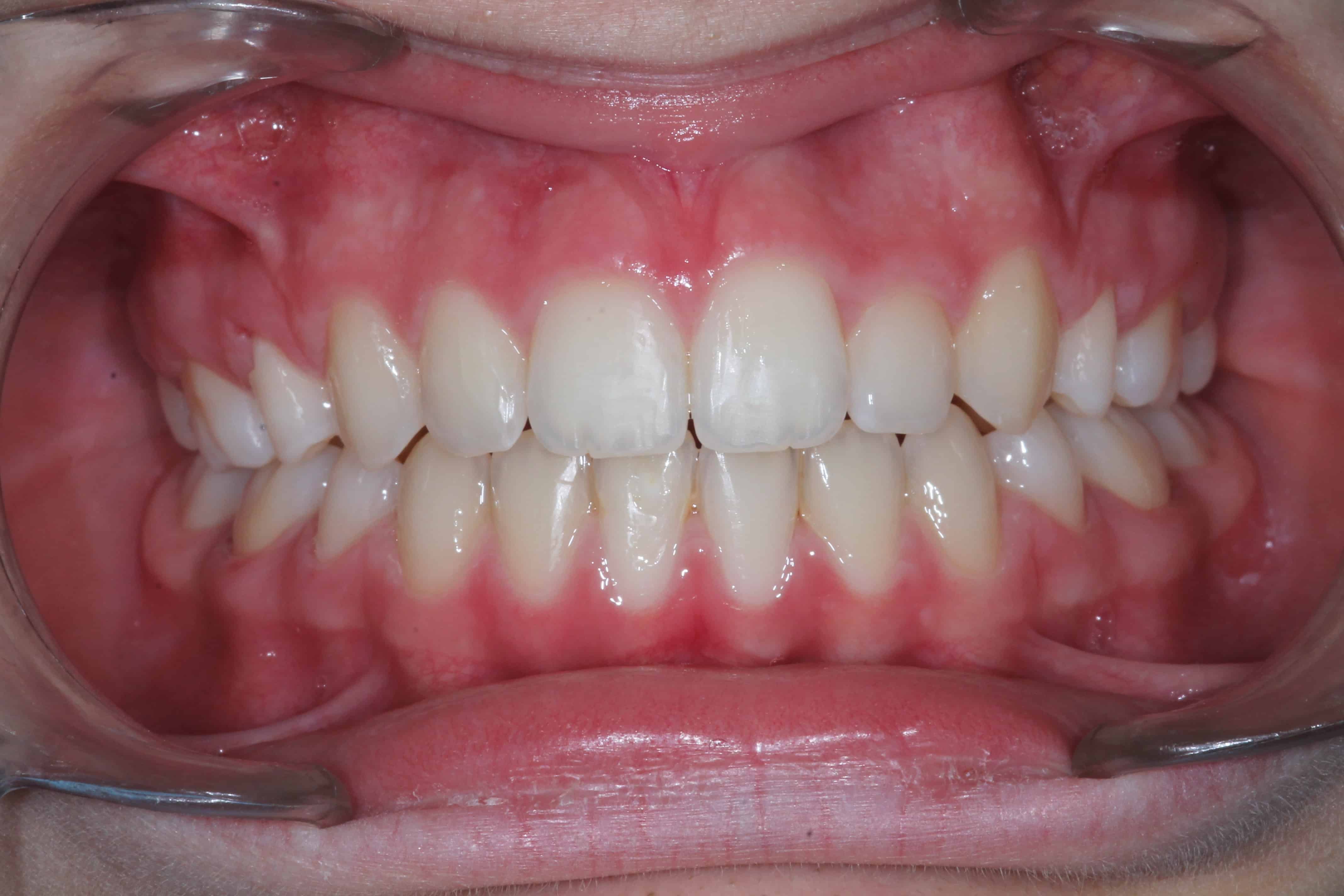
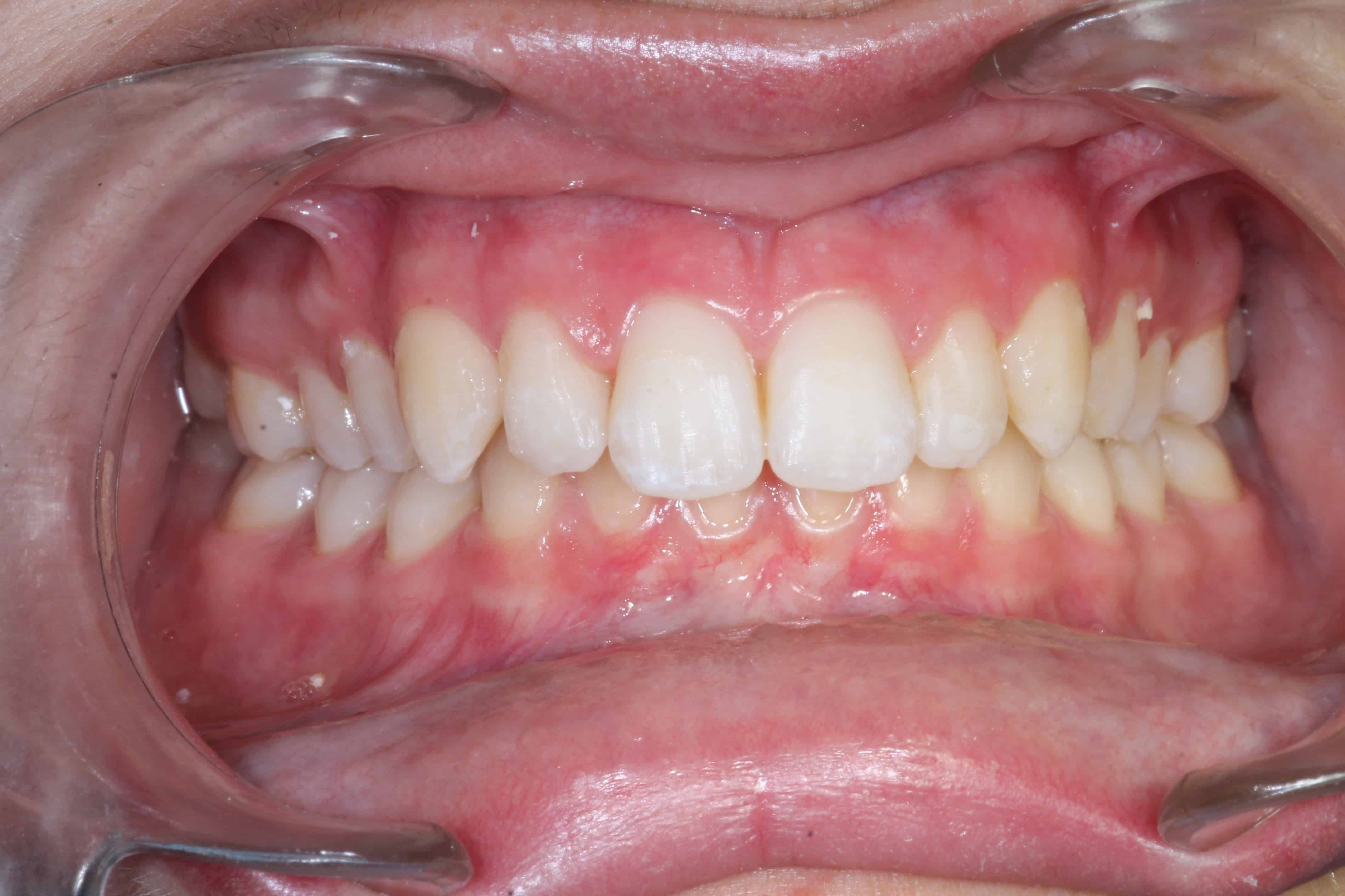
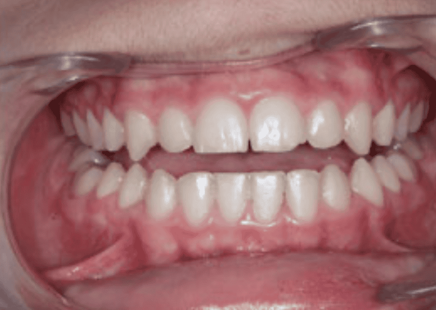
Orthodontie :
Enfants
Adultes
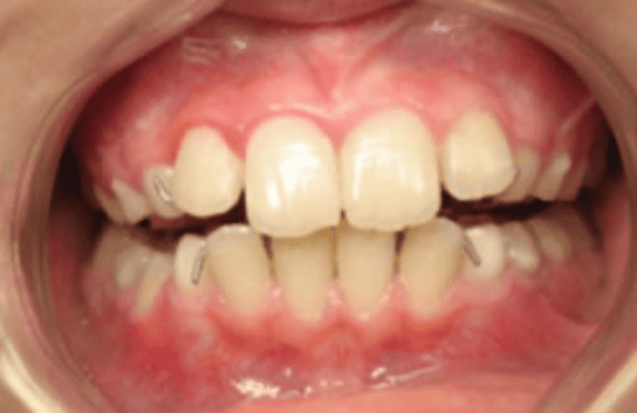
Traitement interceptif de Planas
Traitement interceptif précoce par disjoncteur
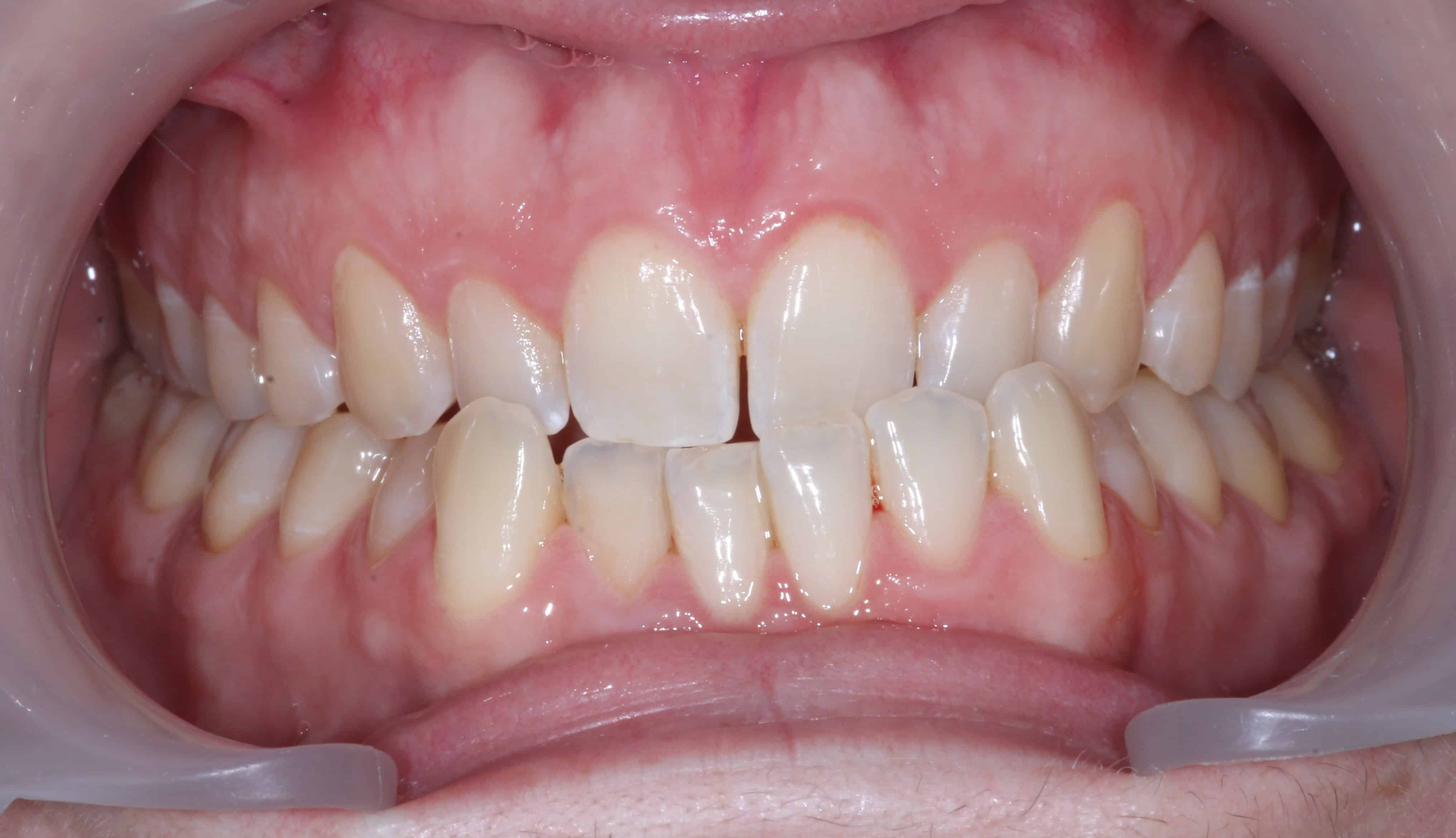
Traitement Ortho-Chirurgical : Cas de Classe 2
Traitement Ortho-Chirurgical : Cas de Classe 3
Accueil
Le cabinet d'orthodontie
Avant / Après
Prendre rendez-vous